01. Scalp model kept for 8 days of experimentation at a time
02. Selection of experimental models
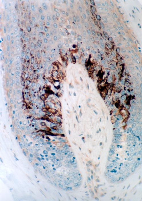
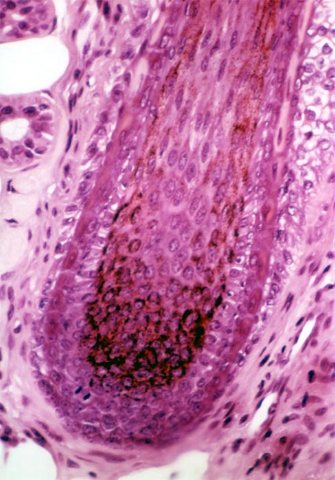
03. Evaluation of the melanic pigmentation of the hair bulb
IV. Model of isolated scalp sample kept in survival conditions
Effectiveness of shampoo and topical products
Scalp model kept for 8 days of experimentation at a time
Selection of experimental models :
- Irritated scalp sample (lauryl sulfate)
- Reactive scalp sample (substance P)
- Experimental model for hyperseborrhea
Evaluation of the melanic pigmentation of the hair bulb :
- Analysis of the transfer of melanocytes’ specks of melanin to the bulbous cells of the hair bulb
- Fontana coloration (quantitative scores)
Update : December 2010
Back to index "Model of scalp: Effectiveness of shampoo and topical products"
Top of page



